우연히 발견한 부비동 내의 무언가...
출국을 몇일 앞두고 혹시나 하여 건강검진을 해보았다.
평소에 해보고 싶었는데 못했던 뇌MRI를 선택했다.
MRI 먼가 이름이 멋있어서..
근데 이번 건강검진은 날 무섭게 하는 소견서가 있었다..
"지금 바로 확인하세요" 라니...
부비동 진균덩이... 또르르..

사실 그냥 무시하고 있다가 출국 일주일 전 쯤 혹시나 하여 이비인후과를 가보니..
아무래도 수술이 필요할 것 같다고 대학병원 소견서를 적어주시는게 아닌가 OTL... 아.. 안돼....
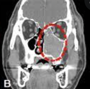
MRI 내용을 보니 코 안쪽이 공기로 차있어야되는데 저렇게 뭔가 가득 차있다고 제거를 해서 조직검사를 해야지 알 수 있다고 한다...
결국 출국을 미루고 수술일정을 급하게 잡았다..

"부비동이란 우리 얼굴의 눈과 코 주위에 빈 공간으로 이루어진 뼈 구조물을 말하며
만성 부비동염 혹은 축농증은 이 부비동에 만성적으로 생긴 염증성 질환을 말합니다"
"비용이란, 코 안에 생기는 양성 물혹을 의미하며 이러한 물혹은 눈 옆에 있는 사골동이란 구조에서 주로 생깁니다"
"따라서 만성 부비동염 내시경 수술 또는 비용절제술 및 사골동 비내수술이란 이 물혹과 물혹의 기원이 되는 병적 상태의 사골동을 포함한 부비동 안의 병변을 내시경을 통하여 외과적 방법으로 제거하는 수술을 말합니다"



강남세브란스 3박4일 입원..
월요일 수술이기에 전날 일요일에 5시까지 입원했다.
2인실과 6인실 중에 선택할 수 있었는데 실비가 있었기 때문에 편한 마음으로 2인실을 선택했다.. (80% 돌려받음..)
2인실 11만원 vs. 6인실 2만원...
사실 3박 기준으로 11만원도 그렇게까지 부담되는 수준은 아닌 것 같다.. 호캉스를 생각하면...
우리나라는 의료천국이 맞는 것 같다.. 이런 대학병원의 최고 의료 시설을 이정도 가격에 .. 킹사합니다..


첫날 밥이 너무 부실해서... 최후의 만찬을 편의점에서 즐겼다..


입원 준비물
결론부터 말하자면 편의점에서 거의 다 살 수 있지만, 가져올 수 있는 것은 가져오는게 절약될 것 같다.
- 노트북 (하루종일 폰만 보면 눈이 아프다)
- 슬리퍼 (따로 슬리퍼를 제공하지 않기 때문에 편한 크락스 같은게 있어야함)
- 물컵 혹은 텀블러 (생수를 사도 되지만, 정수기를 쓰면 매번 생수를 안사러 다녀도 됨)
- 세면도구 (칫솔, 치약 등을 포함하여 샴푸 등도 제공되지 않기에 적당히 챙기면 좋음)
- 수건 (세면도구와 마찬가지로 제공 안됨)
- 여분 배게나 얇은 이불 (없어도 무방하지만 추가로 제공받을 수 없기 때문에, 추울 수도 있어서 목배게나 얇은 이불 있으면 좋음)
- 물티슈 및 휴지 (밥 먹을 때마다 뭐 흘리면 닦을게 없어서 난감함)
- 간단한 간식거리 (편의점이 있지만 비싸니까 싸와도 될듯)
- 가습기 (코를 막고 입으로만 숨쉬는데 너무 건조해서 입이 바싹바싹 마름)
- 귀마개 (2인실인데도 티비를 크게 틀어놓으시는 분들이 계심.. ㅠㅠ)
수술 전날 진료
수술 전날에는 내가 어떤 수술을 받는지 어떤 상태인지 수술 전후로 어떤 일이 있는지 간단히 설명을 듣는다.
수술은 1시간 반에서 2시간 정도 걸릴 예정이며.. 상황을 봐서 코뼈 휜것도 잡아줄 수 있는데 그건 비급여라서 비용이 얼마가 들고.. 그런 내용 들이다.
그리고 여러 테스트 등을 진행하는데 뭔가 불필요해보이는 테스트도 많은 것이 대학병원의 장점이자 단점인 것 같다.
재밌었던건 후각 테스트를 하는데 냄새를 맡고 이게 무슨 냄새인지를 맞추는건데 양파냄새, 레몬냄새, 휘발유 냄새 등이 있었다.
코털도 제모하고 사진도 찍고 이래저래 전날은 워밍업 같은 단계를 진행한다.
수술 당일
8시 첫 타임으로 수술이 잡혔다고 한다.
6시 반쯤 깨운다.
속옷까지 다 벗고 환자복만 입으라고 한다.
7시 좀 넘으니 수술실로 향한다.
대학병원이 정말 체계적이면서도 공장 같다고 느낀게 같은 질문을 여러명이 수차례 반복한다..
귀금속은 제거했는지.. 속옷은 벗었는지.. 이름은 뭔지..
그렇게 수술실에 누우면 주사바늘을 꽂아주고 바퀴달린 침대에 누워서 찐 수술방으로 간다.
영화에 나오는 수술실.. 생각보다 꽤 넓다..
그리고 사람도 엄청 많다.
간호사 의사 포함해서 수술 전에만 거의 6~8명이 북적북적...
실제 수술할 의사선생님이 오시기도 전인데 말이다..
그리고 이것저것 손에 꼽고 가슴에 꼽고 하더니..
"산소 들어갑니다~"
라고 코에 가져다 대는 순간 점점 내 심장 박동수는 올라갔다.
"이제 마취 들어갑니다~"
라고 하자 내 심장 박동수는 절정을 향해 가고 있어....ㅅ......... z Z Z ...
보호자에게는 실시간으로 이렇게 알림 문자가 간다고 한다.
세상 좋아졌다..
07:31 ~ 수술 준비중
08:18 ~ 수술 진행중
09:50 ~ 회복중



회복실에서 눈을 뜨다
눈을 떠보니 회복실이고 여기는 시장통 같아서 엄청 시끄럽다..
코끝을 바늘로 찌르는 것 같은 통증이 온다.
양쪽 콧구멍을 거즈로 가득 막아둬서 입으로만 숨을 쉴 수 있는데 입이 바짝 말라서 너무나도 목이 마르다.
코를 막아서 그런지 눈물이 계속 나고 뇌가 울리는 느낌이다.
그리고 이빨이 너무 아펐는데, 이게 무의식중에 입에 물고 있는 것을 강하게 물고 있다보니까 이빨에 통증이 오는 것 같다.
그래서 계속 흔들리는 치아가 없냐고 물어봤던것 같다...ㅎ ㄷ ㄷ...
통증은 참을 수 있는 정도긴 하지만 이 통증이 쉴새없이 계속 지속되니까 너무 힘들었다.
다행히 진통제는 원하는 만큼 끊임없이 놔주었다.
눈을 뜨면 다시 입원실 내 자리로 돌아온다.
코도 엄청 붓고 눈물이 고여있고 이빨은 피로 물들어있다..

이 때 약간 보호자가 없는게 외로웠다.
원래 아플 때 혼자 있으면 서럽다고 하는데.. 다른 때는 다 괜찮았는데 딱 이 때 아무도 없이 혼자 누워있는게 살짝 외로웠다.
11시 쯤 다시 자리로 돌아왔는데 오후 4시부터 물을 마실 수 있다고 한다.
와 그 때 진짜 목이 너무 말라서 미쳐버릴 것 같았는데, 너무 힘들어서 사실 몰래 조금씩 마시긴 했다.
이게 수면마취 후 목으로 산소를 공급한 상태고 수술을 진행하고, 그 후에도 입으로만 숨을 쉬니까 진짜 말도 안되게 입이 건조해진다.
근데 수면마취가 제대로 깨지 않은 상황에서는 물을 마시다가 기도가 막힐 수 있다고 하여 일자로 눕지도 못하게 하고, 물도 못마시게 한다.
근데 진짜 너무 너무 목이 마르고 고통스러워서 물을 입을 적실 정도로만 마셨고.. 마셨다기보단 적셨다..
그리고 입으로만 숨을 쉬는데 피가 계속 나오기 때문에 수시로 가글을 해주라고 한다.
이 때 가글을 하면서 수돗물로 입을 적시면 그나마 좀 나았다.
가습기를 가져올걸.. 하던 순간이었다.
통증이 너무 심하고 괴롭고 그런데 옆에 할아버지는 티비를 엄청 크게 틀어놓고 있으니..
이게 괴로우면서도 또 은근히 티비 소리를 들으면서 고통을 참기도 하고..
그렇게 그렇게 시간이 지나가기만을 바라고 3시가 좀 넘어가니 간호사 선생님이 물은 천천히 조금씩 마셔도 된다고 해서.. 그때부터 물을 마시기 시작했다.
근데 또 코가 막힌 상태에서 숨을 쉬면서 뭔가를 마신다는게 쉽지가 않았다....
특히 목 뒤가 피로 가득차고 있어서 그걸 뱉어내면서 물도 마시고 뭐든 쉽지 않았다...
진통제는 계속 놔주긴 하지만.. 진통제가 눈이나 이빨 아픈것은 잡아주어도 코 아픈것 까지는 잡아주지 못했다..
의사선생님의 회진
오후 5시쯤 되니까 수술하신 의사선생님께서 오셔서 어떤 수술을 어떻게 진행했는지 설명해주셨다.
정확한 내용은 조직검사 결과를 봐야 알 수 있겠지만
"반전성 유두종(Inverted Papilloma)" 라고 한다.
결국 물혹의 일종인데, 유두 같이 생겼다고 해서 유두종이라고 하고, 아래를 향하고 있다고 해서 반전성 이라고 지칭한다고 한다.
우연히 초기에 발견된 놈이니만큼 깔끔하게 제거는 했지만, 이놈이 재발확률이 매우 높아서 주기적으로 검사를 해보는게 좋겠다고 하신다.
이놈이 냅두면 점점 확장을 해서 뼈를 파고 들거나 심하면 코 밖으로 나올 정도로 커질 수도 있는데 초기에 발견되어서 제거는 잘할 수 있었다고 한다. 정말 다행이다 ㅠㅠ
또 코가 한쪽으로 휘어져있던 부분도 있어서, 그것도 교정했다고 하신다.
나같은 경우는 왼쪽으로 휘어져있어서 그걸 일자로 잡아주는데 비중격교정술을 진행했다고 하신다.
비밸브 비중격 하비갑개 어려운 용어가 난무했는데 요는 구멍을 넓혀서 숨을 잘 쉬게 도와주는 수술이라고 한다.


다행히 수술은 잘 마무리 되었다고 하니.. 안심.. 휴..
이번 수술로 난 모든 성형한 사람들을 리스펙 하기로 했다..
나는 살짝 코만 건드리는데도 이런 통증이 오는데.. 뼈를 깎는 고통이라는게 정말 어떤 고통일지 상상도 안간다...
정말 리스펙트 한다 ㅠㅠ
12시간 만의 첫 식사
그리고 저녁 6시에 12시간 만의 식사가 나왔다..
미음..
너무 아프고 목으로 뭘 삼킬 수도 없을 정도로 힘들었지만.. 억지로 미음만큼은 다 먹을려고 노력했다.
팔에 뭘 주렁주렁 달고 있고 코도 막혀있고 하니까 밥을 먹는게 보통 고역이 아니다.


일자로 누워있지 말라고 하니 결국은 잠도 거의 못잤다.
옆에 할아버지가 엄청나게 코를 고시기도 하거니와 나도 통증이 지속되서 잠을 편히 잘 수가 없었다.
농담이 아니고 30분 간격으로 계속 깼다..
1시반.. 2시.. 2시반.. 3시.. 3시반.....
수술 2일차 외래진료
아침 8시에 넘어가지 않는 밥을 억지로 열심히 삼키며, 밥을 절반정도 최선을 다해 먹고 외래진료를 받으러 갔다.
특별한 내용은 없었지만, 지혈이 잘되고 있고 수술도 잘 된거 같다고만 하신다.
그리고 이제 일자로 누워서 자도 된다고 하셔서 편한 마음으로 오전에 한시간 정도 수면을 취했다..
점심 때부터는 거짓말처럼 통증이 많이 완화가 되었다.
아침까지만 하더라도 코 통증이 가시질 않았는데, 오후부터는 코 통증도 거의 사라졌다.
어질어질한 기운만 남아있을 뿐..
물론 진통제는 어마어마하가 투약한다.
얼핏 듣기로 혈관으로 집어 넣는게 하루에 3회, 먹는 알약으로 식후 3회 + 환자가 괴로워하면 더 자주.. 인것 같다.
하지만 이틀차부터는 매우 괴로울 정도의 고통은 가셔서 별도로 진통제를 요청하지는 않았다.


'인생에 도움이 되는 꿀팁' 카테고리의 다른 글
| 광화문 일본 대사관 주차 꿀팁 | 트윈트리 타워 이디야 주차 무료 | 일본 특단의 사정 비자 발급 (0) | 2022.05.28 |
|---|---|
| 평택 미군부대 캠프험프리스 방문 | 렌트카 미군부대 방문 | 텍사스 로드하우스 (0) | 2022.05.24 |
| 이케아 침대 가구 조립 | 송에산드 SONGESAND 슈퍼퀸 뢴세트 LÖNSET 발레보그 VALEVÅG 매트리스 (0) | 2022.05.06 |
| 아동 지문 등록, 실종예방 (안전 Dream 앱) (0) | 2022.04.28 |
| 스냅스 메탈액자 추천 (탁상용 화이트유광) (0) | 2022.04.24 |
| 아이폰 마이그레이션 | 공기계 데이터 옮기기 (0) | 2022.03.09 |
| iptime 무선 인터넷 공유기 비밀번호 초기화 및 설정하는 방법 | 인터넷 끊김 테스트 (0) | 2022.03.02 |
| 영문 코로나 백신 접종 증명서 발급하기 | 정부24 (0) | 2022.02.24 |